All categories

www.reeleak.com

Reeleak is an alternative to LiveGore, now you can surf and watch LiveGore content directly from Reeleak.

0 votes

WARNING: UNCENSORED NEWS!

LiveGore is a reality news website which reports on real life events which are of the interest to the public. Includes videos relating to true crime that have been taken from across the world. Due to the graphic nature of materials found on Live Gore, access is restricted to adults only(18+). !!Please leave this website if you under that age!!

Important Update!


Please join our telegram channel to get important updates related to this website.
Join now : https://t.me/+aI6AdrheUSlhYTNh/
New poll : https://t.me/c/2146536856/5/
New note : https://t.me/c/2146536856/7/

Join our telegram for news update!
https://t.me/+aI6AdrheUSlhYTNh/


Announcement Box

Please check our new announcement.
READ : https://t.me/livegoredotcom/37

ARE YOU OVER 18 YEARS OLD?

You must be 18 or older to enter this website.

By clicking "YES", you confirm that you are of legal age to view this content.
If you are under 18, please click "NO" to exit the site.

Pajeetlet Survives Having Skull Split Open by Thresher Machine
Description
Source (Thieme>

Fig 1: Agricultural machine causing fan blade injury.
Fig 2: Resolving edema on postoperative day 8
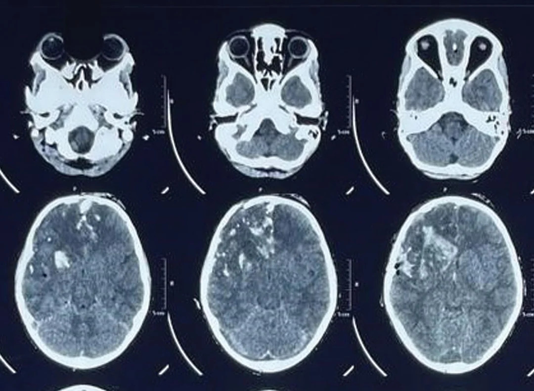
Fig 3: Preoperative computed tomography showing B/L frontal contusion with gross edema, subarachnoid hemorrhage, and intraventricular hemorrhage.
Fig 4: Postoperative image showing primary closure of the wound
Fig 5: Follow-up and complete recovery.
Fig 6: Preoperative clinical image of patient showing extent of injury with brain herniation.


A 10-year-old male was brought to the emergency department of All India Institute of Medical Sciences (AIIMS) Patnawith the complaints of accidental fall on the fan blade of the thresher machine (►Fig. 1). On arrival, he had a Glasgow Coma Scale (GCS) of E1VTM5 status, bilateral pupil mid-dilated, and sluggish reaction to light. On secondary survey, he had a lacerated wound of size 15x4x2 cm extending from left side forehead to right temporal region exposing bone and brain parenchyma herniation through the wound (►Fig. 6). Baseline laboratory parameters showed hemoglobin of 12.1, total leucocyte count of 12,000, platelet count of 2,35,000, and serum Naþ of 136, Kþ of 4.2.

A noncontrast computed tomography (NCCT) head showed B/L frontal contusion with gross edema, subarachnoid hemorrhage, and intraventricular hemorrhage. There was fracture of bilateral frontal bone extending to right parietotemporal bone (►Fig. 3). A diagnosis of penetrating compound head injury by agricultural fan blade was made. Patient was taken to operating room (OR), where after painting and draping, the wound was irrigated with normal saline. The herniated brain was removed, securing hemostasis with surgical and Bovie cautery. Lax duraplasty was done with harvested pericranium and wound closed in layers (►Fig. 5).

Postoperatively patient was shifted to neuro intensive care unit and was kept on sedation and mechanical ventilation. He was started on cerebral decongestants, broad-spectrum antibiotic, and antiepileptic. On postoperative day 1, GCS was E1VTM5 status. A repeat NCCT head showed development of gross edema in the brain. Cerebral decongestants were continued and barbiturate coma was induced for next 48 hours. Tracheostomy was done on postoperative day 4. A repeat NCCT head on postoperative day 8 showed resolution of edema. His GCS also improved to E3VTM6 status (►Fig. 2). On postoperative day 14, he became E4VTM6. He was later shifted toward where he was decannulated. He developed left-sided hemiparesis for which he was started on physiotherapy. He underwent a prolonged neurorehabilitation and made a complete recovery after 3 months of injury (►Fig. 5).
430 views 2 hours ago

Important!
Your post might be deleted/hidden when other users reported/flag it. Think twice with your post title/description/comments, because the content is automatically deleted/hidden by the system. If you need quick action to delete any content in this website, you can click the Report content! button below.


Note
Accounts with child photo in the profile picture will be blocked. No CHILD/KID/UNDERAGE is allowed to create an account in this website. (If you are using child photo for your profile picture, we will marked you as a child/kid/underage, because there are users reported that as child/kid/underage account.)
LiveGore Notification Board

We apologize for the flagged problem encountered, but for your information, every post that is flagged will be assessed as to whether it needs to be deleted or published again, this is to avoid uploading prohibited content. For that, every hidden media will be published again if it does not violate the rules of this site. In addition, posts that are uploaded repeatedly will also be deleted. We would like to emphasize that if your account is found to continue flagging and down-voting posts for no reason, your account will be blocked by the system. If you think the system has mistakenly blocked your account, you can ask us to unblock your account, but it depends on the logs we check based on the mistake you made. We try to be fair to all users, so action must be taken. Any problem can directly contact us through the Feedback form. Thank you for understanding.

Reported Users List

- Moderator

Please log in or register to Comment this Media.

Killer_7000 Beginner 194 points
Why does this always happen with subhuman kids?
+2 votes
2 hours ago
Xter Beginner 184 points
Because they don't have education and guidance
Francofrrr 24 points
Because they're retarded and always will be--is that what you wanna hear?
SlayMonzter The Boss 28,379 points