All categories

www.reeleak.com

Reeleak is an alternative to LiveGore, now you can surf and watch LiveGore content directly from Reeleak.

0 votes

WARNING: UNCENSORED NEWS!

LiveGore is a reality news website which reports on real life events which are of the interest to the public. Includes videos relating to true crime that have been taken from across the world. Due to the graphic nature of materials found on Live Gore, access is restricted to adults only(18+). !!Please leave this website if you under that age!!

Important Update!


Please join our telegram channel to get important updates related to this website.
Join now : https://t.me/+aI6AdrheUSlhYTNh/
New poll : https://t.me/c/2146536856/5/
New note : https://t.me/c/2146536856/7/

Join our telegram for news update!
https://t.me/+aI6AdrheUSlhYTNh/


Announcement Box

Please check our new announcement.
READ : https://t.me/livegoredotcom/37

ARE YOU OVER 18 YEARS OLD?

You must be 18 or older to enter this website.

By clicking "YES", you confirm that you are of legal age to view this content.
If you are under 18, please click "NO" to exit the site.

Man Survives Self-Decapitation Attempt
Description
Source (ResearchGate)

Fig 1: Operative findings. The nuchal, interspinous, and flavum ligaments between the fourth and fifth cervical vertebrae were ruptured. Major cerebrospinal fluid leakage and vertebral artery injury were absent. The white arrow indicates the perforated flavum ligament.
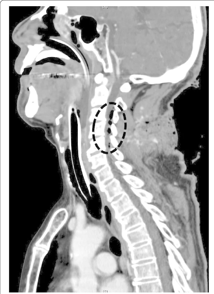
Fig 2: Computed tomography scan showing air in the spinal canal. The black circle indicates air in the spinal canal, suggesting dura mater perforation.
Fig 3: Self-inflicted penetrating posterior cervical column injury by a sickle. The posterior vertebral column was grossly exposed, and the lacerated soft tissues bled actively. a Lateral view and b craniad view.

A 63-year-old Japanese man attempted to cut off his head with a rusty sickle immediately after drinking a copious amount of alcohol. On admission to our emergency department (ED), he was in the supine position and manually immobilized by several paramedics. A physical examination revealed gross exposure of his posterior vertebral column and active bleeding from lacerated tissues (Fig. 3a, b; image obtained in the operating room). Manual pressure hemostasis was provided but was unsuccessful, and our patient developed serious hypovolemic shock. His initial vital signs recorded in our ED were as follows: body temperature, 34.0 °C; heart rate, 140 beats/min; blood pressure, not measurable (the femoral artery was faintly palpable but the radial artery was not); and respiratory rate, 30 breaths/min. He was restless, and his conscious level was 9 on the Glasgow Coma Scale (E2V2M5). His extremities were cool and wet, but no trauma was evident. Our patient was in obvious distress, preventing us from performing a detailed neurological examination. His breath smelled of alcohol. He was lean and did not have a short neck or micrognathia; he showed no signs of restricted mouth opening. The remainder of the physical examination, including assessment of his thorax, abdomen, and pelvis, was normal. He had no history of medication or allergies.

The need for immediate definitive airway management and surgical hemostasis was apparent. While several people maintained manual in-line stabilization and pressure hemostasis of his head and neck, anesthesia was induced in our ED. Alternative ventilation and intubation equipment, including a supraglottic airway device, video laryngoscope, and surgical airway device, was set up, and we performed rapid-sequence intubation (RSI) with intravenously administered fentanyl (1 μg/kg), ketamine (1 mg/kg), and rocuronium (1 mg/kg) using a conventional laryngoscope. Direct laryngoscopy provided a Cormack–Lehane grade 1 view and revealed neither airway distortion nor edema. An endotracheal tube (inner diameter, 7.0 mm) passed his vocal cords easily. Computed tomography revealed air in his spinal canal, suggesting that the dura mater was perforated (Fig. 2).

Surgical exploration revealed laceration of the interspinous and flavum ligaments between his fourth and fifth cervical vertebrae, and the dura mater was exposed (Fig. 1). Fortunately, neither major cerebrospinal fluid leakage nor vertebral artery injury was present. Therefore, surgical repair of the dura mater and large vessels was not required. The major source of bleeding was oozing from lacerations of the trapezius and splenius muscles of his neck; bleeding from both sites was surgically controlled. The facet joints were also intact, which convinced us that cervical stability could be ensured if wound repair and external fixation were provided. After copious irrigation, fascia and soft tissue repair, and cervical collar installation, our patient was admitted to our intensive care unit where he was maintained on controlled ventilation. An examination using a flexible fiberscope the following day revealed neither airway distortion nor edema, allowing successful extubation. His vocal cord movement was also normal. A neurological examination revealed no deficits. He was treated with intravenously administered cefazolin for 3 days to prevent surgical site infection.

On day 5, he was transferred to our psychiatric department. The cervical collar was removed on day 14. After further psychiatric evaluation and treatment, he was discharged home and returned to normal activity. At his outpatient follow-up appointment 6 months later, he was neurologically intact and had no neck deformity, including kyphosis or torticollis.
556 views 2 hours ago

Important!
Your post might be deleted/hidden when other users reported/flag it. Think twice with your post title/description/comments, because the content is automatically deleted/hidden by the system. If you need quick action to delete any content in this website, you can click the Report content! button below.


Note
Accounts with child photo in the profile picture will be blocked. No CHILD/KID/UNDERAGE is allowed to create an account in this website. (If you are using child photo for your profile picture, we will marked you as a child/kid/underage, because there are users reported that as child/kid/underage account.)
LiveGore Notification Board

We apologize for the flagged problem encountered, but for your information, every post that is flagged will be assessed as to whether it needs to be deleted or published again, this is to avoid uploading prohibited content. For that, every hidden media will be published again if it does not violate the rules of this site. In addition, posts that are uploaded repeatedly will also be deleted. We would like to emphasize that if your account is found to continue flagging and down-voting posts for no reason, your account will be blocked by the system. If you think the system has mistakenly blocked your account, you can ask us to unblock your account, but it depends on the logs we check based on the mistake you made. We try to be fair to all users, so action must be taken. Any problem can directly contact us through the Feedback form. Thank you for understanding.

Reported Users List

- Moderator

Please log in or register to Comment this Media.

Killer_7000 Beginner 194 points
I wish that non-White pocroach died
+2 votes
2 hours ago
Killer_7000 Beginner 194 points
Kill all niggers
+2 votes
2 hours ago
Killer_7000 Beginner 194 points
Upvote my comment or you're a faggot nigger
+2 votes
2 hours ago
IamSOFAkingWEtoddDID Extreme Poster 593 points
I wonder if he regrets that decision.
0 votes
6 minutes ago
SlayMonzter The Boss 28,379 points